Diabetes mellitus (DM) is a chronic metabolic disease characterized by chronic hyperglycemia and disorder of carbohydrate, fat and protein metabolism, caused by an absolute or relative lack of insulin secretion and/or action. It is manifested by a characteristic clinical picture, and in the further course of the disease, complications occur in small blood vessels (microangiopathy) and large blood vessels (macroangiopathy) (1). In the last three decades, the number of new cases and prevalence of DM has increased dramatically in all countries, regardless of the level of development. About 422 million people worldwide have DM, but predominantly in underdeveloped and developing countries. Every year, about 1.5 million deaths are directly related to this disease (2). In 2021, there were 529 million (95% uncertainty interval [UI] 500–564) people living with diabetes worldwide, and the global age-standardized total diabetes prevalence was 6,1% (5,8–6,5). Total diabetes prevalence—especially among older adults—primarily reflects type 2 diabetes, which in 2021 accounted for 96,0% (95,1–96,8) of diabetes cases and 95,4% (94,9–95,9) of diabetes DALYs worldwide. By 2050, more than 1,31 billion (1,22–1,39) people are projected to have diabetes, and 89 (43,6%) of 204 countries and territories will have an age-standardized rate greater than 10% (3).
According to the definition of the World Health Organization (WHO), diabetic foot syndrome (DF sy) is “foot ulceration (distal to the ankle and including the ankle), associated with peripheral neuropathy and peripheral vascular disease of varying degrees and infection” (4). It is the most common and serious complication associated with DM, occurring in 15% of patients and the cause of 50% of lower limb amputations (5). In the early stage of DF, there is mainly a disorder of the sensorium of the skin of the lower limbs and cold lower limbs, which, if ignored, can progress to diabetic foot ulcer (DFU) and gangrene. The final outcome can be amputation of the affected lower limb or even death in severe cases, which represents a great burden to the family and society. Peripheral neuropathy, peripheral vascular disease and infection are three factors that are seen together in 60% of patients with DF and in combination with factors from the external environment, such as inadequate foot care and hygiene and wearing inadequate footwear, lead to the formation of wounds, i.e. ulcerative changes on lower limbs that heal slowly. Other risk factors for the occurrence of DFU are smoking, obesity, alcohol abuse (6,7). Due to the complexity of the wound healing process, their treatment should be approached in several ways. The main modalities of DFU treatment primarily include optimal glycemic control to slow progression, wound treatment including local debridement of the wound, regular dressings, offloading, i.e. reduction of pressure on the foot, then control of infection with the use of targeted antibiotics, revascularization in case of need and nutritional support (8,9). The main characteristic of chronic wounds is the low partial pressure of oxygen in their center, and it has been proven that oxygen plays a central role in wound healing. It is not only necessary for cellular respiration, but also as a source of free oxygen radicals, which are vital in several physiological processes, such as cellular communication, bactericidal activity and promotion of angiogenesis. In addition, low subcutaneous oxygen pressure is associated with a higher risk of infection. For this very reason, hyperbaric oxygen therapy (HBOT) has found its significant place as one of the treatment modalities for several pathological conditions characterized by tissue hypoxia, such as diabetic wounds, carbon monoxide poisoning, gas gangrene, necrotizing fasciitis, compartment syndrome, intracranial abscesses, burns and the consequences of radiation treatment or osteomyelitis. In this sense, it has been shown that healing of diabetic foot wounds progress favorably after HBOT treatment. Furthermore, HBOT prior to surgery has been reported to reduce complications and hospital stay. HBOT is a type of therapy during which the patient inhales 100% oxygen under a pressure of at least 1.4 ATA (absolute atmosphere), usually between 2ATA and 3ATA, in special chambers designed for that. HBOT increases the availability of oxygen to body tissues, including plasma, and increases the capacity of blood to transport oxygen relative to the concentration under normobaric conditions, which is often associated with its pharmacological effects. The aim of this paper is to demonstrate the contribution of HBOT as an adjuvant therapy to the healing of diabetic foot wounds through examples from practice.
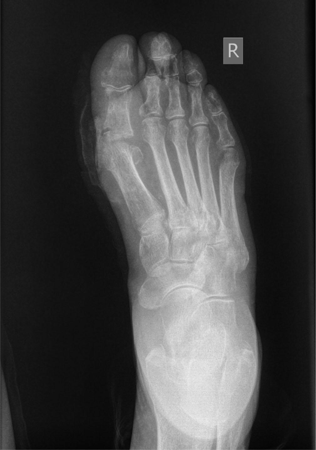
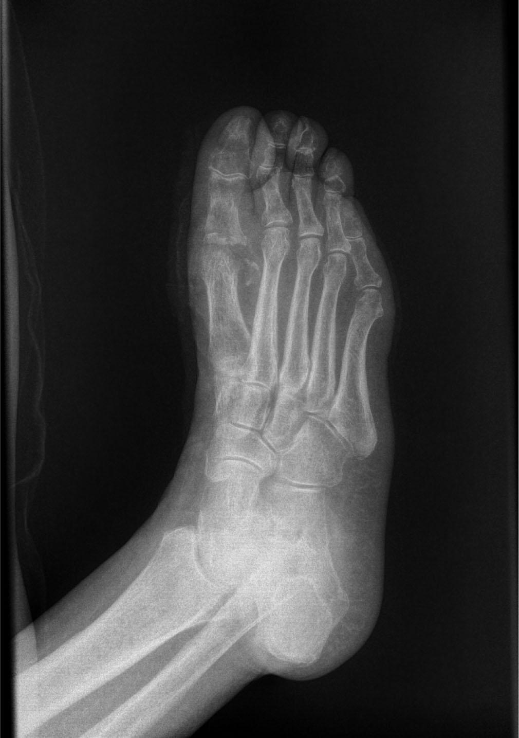
A 73-year-old female patient was first admitted in November 2023. to the Department of Baromedicine at the Zemun Clinical Hospital Center due to a non-healing wound on her right foot. The ulcer was located on the inside of the right foot in the projection of the head of the first metatarsal bone, 6 cm in diameter, with signs of infection and necrotic content (Figure 1). The patient gives information that the change occurred about a month before hospitalization and that it was a minor wound, probably the result of blisters. Until admission, she was treated in a regional health institution with bandages and antibiotic therapy. The skin of both feet is trophically altered, pedal pulsations are not palpable. The patient has been diabetic for 18 years, on combined insulin and oral therapy. She is being treated for hypertension, hyperlipoproteinemia and psoriasis as well. A swab of the wound was taken upon admission. After an examination by a cardiologist and otorhinolaryngologist and an x-ray of the heart and lungs, the patient was treated with HBO according to the regular protocol included. HBOT was conducted in a one-piece chamber that accommodates only a single patient, in which he lies only in his cotton underwear, under a pressure of 2 ATA for 60 minutes once a day. During treatment, the pressure is raised by the first 15 minutes at a rate of 0.3 ATA per minute, the next half hour, the patient breathes 100 % O2 under constant pressure from 2 ATA, and last 15 minutes gradual decompression is also made at 0.3 ATA per minute. A total of 20 HBO therapies were conducted. Immediately upon admission, empiric antibiotic therapy was included, which was corrected in accordance with the results of the wound swab, from which Pseudomonas aeruginosa was isolated, and the antibiogram. Wound care with hydrogen and povidone-iodine solution were performed daily, with occasional debridement of necrotic tissue and drainage of the contents. During hospitalization, leukocytes ranged from 9.4-7.1 (10*9/L), CRP 74.7-28.6 (mg/L). At the end of the treatment, the patient was discharged in good general condition with local findings improving, without signs of infection and with the appearance of clear granulation tissue in the area of the ulcer, with a recommendation to continue treatment and bandages in the regional health institution. Two months after her discharge, the patient comes for a follow-up examination, stating that she regularly received bandaging and antibiotic treatment from the attending physician through the Community health center's home healthcare service. The local findings show a wound that is almost completely filled with granulation tissue, with macerated edges, apparently without infection (Figure 2). By pressing in the region of the root of the thumb plantar path of the wound, a larger amount of purulent content is obtained. The patient was hospitalized at the end of February 2024. in the Baromedicine Service again and treated with hyperbaric oxygen therapy according to the same protocol as the previous time. A total of 15 HBOTs were conducted. A swab of the wound was taken, from which Pseudomonas aeruginosa was isolated again, and it was treated with antibiotic therapy based on the results of the swab and the antibiogram, the wound was regularly bandaged with curettage of the place where the purulent content was obtained and its drainage. X-ray of the foot did not show the presence of gas in the soft tissue structures of the foot or signs of bone infection (Image 1,2). During the second hospitalization, leukocytes ranged from 8.1-6.4 (10*9/L), CRP 8.1-10.1 (mg/L). At the end of the therapy, the patient was discharged in a good condition, with a significant improvement in the local findings and minimal slightly cloudy secretion (Figure 3). Further control and follow-up by the attending surgeon was advised. Six months after the last cycle of HBOT, the wound has completely healed (Figure 4).

Local finding at the beginning of the first cycle HBOT

Local finding at the beginning of the second cycle HBOT

Anteroposterior X-ray image of the right foot

Lateral X-ray image of the right foot

Local finding at the end of the second cycle HBOT

Local finding six months after last cycle of HBOT
A 59-year-old patient was first admitted to the Department of Baromedicine because of a necrotic wound after a partial amputation of the right foot. In September 2023, after the removal of hyperkeratotic changes on the right foot, a wound appeared. The wound was complicated by the development of an infection and then gangrene. Partial amputation of the right foot was performed according to Lisfranc in UCC “Zvezdara” on November 15th 2023. Until admission, he was treated with antibiotic therapy, and according to the recommendation of a vascular surgeon, he comes for HBO therapy. At the reception, the condition after the partial amputation of the right foot is found, the wound is visible partially covered with necrotic deposits (Figure 5). Pedal pulsations are not palpable. The patient is being treated for diabetes and hypertension, in 2014 he had an acute myocardial infarction, and in 2015 he suffered a cerebrovascular insult. A swab of the wound was taken upon admission. After an examination by a cardiologist and otorhinolaryngologist and an x-ray of the heart and lungs, the patient was treated with HBO according to the regular protocol included. HBOT was conducted in a one-piece chamber that accommodates only a single patient, in which he lies only in his cotton underwear, under a pressure of 2 ATA for 60 minutes once a day. During treatment, the pressure is raised by the first 15 minutes at a rate of 0.3 ATA per minute, the next half hour, the patient breathes 100 % O2 under constant pressure from 2 ATA, and last 15 minutes gradual decompression is also made at 0.3 ATA per minute. A total of 20 HBO therapies were conducted. Immediately upon admission, empiric antibiotic therapy was included, which was corrected in accordance with the results of the wound swab, from which Klebsiella sp., Enterococcus sp. and Acinetobacter sp. were isolated, and the antibiogram. Toileting and dressing of the wound with hydrogen and povidone-iodine solution were performed daily, with occasional debridement of necrotic tissue and drainage of the contents. During hospitalization, leukocytes ranged from 17.7-12.6 (10*9/L), CRP 9.6-5.4 (mg/L). At the end of the treatment, the patient was discharged in good general condition with local findings improving, without signs of infection and with the appearance of clean granulation tissue in the wound area. He was advised to continue treatment and dressing at regional hospital. In June 2024, after a regular check-up, the patient was hospitalized for the second time. He stated that he regularly received bandaging and antibiotic treatment from the attending physician through the Community health center's home healthcare service. In the local findings in the area of the amputation stump, a wound about 5 cm in diameter was observed, the bottom of the wound was covered with fresh granulations, without visible signs of infection (Figure 6). Pedal pulsations were not palpable. During hospitalization, a total of 20 HBO treatments were performed according to the same protocol as the previous time. It is regularly bandaged with Aquacel Ag+ dressings and Aquacel foam dressings. Leukocytes ranged from 13.6-12.7 (10*9/L), CRP 2.4-1.3 (mg/L). At the end of the therapy, the patient was discharged in a good general condition, with a local finding in significant improvement, the wound area decreased by about 2/3 in diameter, the bottom of the wound was clean with fresh granulations (Figure 7). Further control and follow-up by the attending surgeon was advised.

Local finding at the beginning of the first cycle HBOT.

Local finding at the beginning of the second cycle HBOT

Local finding at the end of the second cycle HBOT
Although the pathogenesis of diabetic foot is still unclear, the current theory is that in patients with long-term hyperglycemia, there is a tendency for thrombus formation due to atherosclerosis of blood vessels of the lower extremities and their occlusion, which results in local ischemia and hypoxia. Peripheral neuropathy, which leads to a loss of protective sensitivity, as well as a tendency to infection of the lower extremities contributes to the whole process (6, 7). Wound healing in diabetics is a complex process that includes three overlapping phases: inflammation, proliferation and remodeling. Severe acute hypoxia can stimulate cell proliferation and tissue repair, but on the other hand, chronic hypoxia can lead to inhibition of angiogenesis, re-epithelialization and extracellular matrix synthesis, thus compromising healing (8). Under physiological conditions, hemoglobin is saturated with 97% oxygen and therefore increasing hemoglobin saturation does not lead to a significant improvement in tissue oxygen supply. According to Henry's law, at a constant temperature, the amount of dissolved gas in a liquid is directly proportional to the partial pressure of that gas in contact with the liquid, so an increase in the partial pressure of oxygen will increase the amount of oxygen dissolved in the plasma that can be transported to the tissue. In this regard, hyperbaric oxygen therapy can significantly increase the concentration of dissolved oxygen in plasma, and increasing tissue oxygenation appears as a key therapeutic strategy (5). During HBOT, it is possible to bring additional amounts of oxygen dissolved in the plasma to the target tissue, even if the blood vessel is theoretically narrowed so much that not even an erythrocyte can pass, but the liquid component of the blood can pass, which is now multiple times saturated with dissolved oxygen. It is clear that the increased flow of oxygen to the tissue can only be achieved in hyperbaric conditions, when the main carrier of oxygen is no longer hemoglobin in the erythrocyte, but plasma. Ischemic tissue now does not depend on erythrocytes, which in such tissue often cannot reach the target tissue due to their size (10, 11). Several studies have shown that HBOT restores and improves the functions of oxygen-dependent cells such as leukocytes, fibroblasts, osteoblasts, nerve cells (12, 13, 14, 15). This type of treatment has a direct bacteriostatic and bactericidal effect on anaerobic microorganisms, because their level of antioxidant defense is weakened. HBOT also acts as a broad-spectrum, non-specific antibiotic, because by increasing the production of free oxygen radicals in leukocytes, it enhances their phagocytic ability. Given this improvement in the ability of leukocytes to kill bacteria, it helps the local ischemic tissue to keep under control potential infection, which in these conditions would lead to increased tissue destruction and reduce the possibility of recovery of reversibly altered tissue. In general, HBOT improves blood circulation by reducing plasma viscosity, platelet aggregation, and accelerating neocapillarization, which means it improves vascular blood flow in the lower extremities as well, promotes local blood and oxygen supply, enhances tissue metabolism, reduces inflammatory exudation, and reduces or eliminates tissue edema (7). In addition to the above, HBOT has also been found to modulate various growth factors such as vascular endothelial growth factor VEGF, epidermal growth factor EGF, platelet growth factor PDGF, interleukin-1a, fibroblast growth factor FGF-2, etc., which stimulates angiogenesis and arteriogenesis. Moreover, HBOT has shown its effectiveness in activating fibroblasts and endothelial cells through signaling pathways such as hypoxia-inducible factor 1α HIF-1α and nuclear factor NF-kB, thereby accelerating the healing process (8). In one study, it was found that HBOT directly influences the gene expression of several potent antioxidants and pro-inflammatory cytokines, thus favoring angiogenesis and blood circulation in the extremities. It induces the gene expression of SOD1, SOD2, and GPX2, and significantly increases the expression of pro-inflammatory cytokines IL-1β, IL-4, and IL-12, although the expression of TNFα decreases significantly. Therefore, it demonstrates that HBOT could significantly alter the inflammatory response by modulating the gene expression of antioxidants and inflammatory cytokines (16). At the end of the discussion, I must emphasize that the outcome in these two presented cases is in accordance with a recent prospective, randomized, controlled study in which it was proven that at the end of the study, HBOT combined with standard wound care led to a significantly greater decrease in pain score and wound size as well as a significantly greater proportion of patients who developed healthy granulation tissue in the wound bed compared to standard wound care alone. Moreover, HBOT combined with standard wound care led to a significantly lower incidence of amputation. (17) On the other hand, according to the first systematic review that focuses specifically on patients with DFUs in combination with peripheral arterial occlusive disease (PAOD), HBOT appears to have some beneficial effect as adjunctive therapy to treat DFUs with PAOD as it decreases the major amputation rate, but requires a good general condition and stamina among eligible patients. Future research should focus on patient selection and the effectiveness of HBOT as standard adjunctive treatment in ischemic DFUs. (18, 19) And finally when it comes to costs of additional hyperbaric oxygen therapy compared to standard care the majority of HBOT studies have reported that HBOT is cost-effective, particularly based on a long-term perspective. Currently, there is a limited number of pharmacoeconomic evaluations for the cost-effectiveness of HBOT in DFU, because of that extensive cost-effectiveness evaluation for the topic is fundamental and further studies should combine clinical application of interventions with concomitant economic assessment (20).
The problem of DFU is considered as a serious challenge for modern medicine, it is the most challenging complication for both medical professionals and patients in the treatment of DM. From the high rates of failed treatments and consequent amputations (patients with DM are at 15 time higher risk for DE amputation compared to the rest of the population) it is clear that the desired results in the treatment of diabetic foot wounds have not yet been achieved. Therefore, it is necessary to take all preventive measures, to diagnose changes in an early stage of the disease, to provide adequate treatment, to educate patients and help them become aware of the need for a quick reaction when all the above-mentioned warning symptoms appear. A healthcare is obliged to provide equal access to all treatment modalities, including hyperbaric oxygen therapy, to all patients who are at risk or have already developed this complication.