Autologous replacement of bone defects is the gold standard of the treatment of bone defects in orthopaedics (1). However, difficulties associated with obtaining donor materials hamper a wide implication of such methods in the clinics (2).
Up to date, different types of bone substitute materials have been proposed (with properties close to autologous materials) (3). It encompasses organic and synthetic compounds such as type I collagen, calcium phosphate, calcium hydroxyapatite and others (4). Materials for bone replacement should demonstrate excellent conductive and biological properties. In addition, the concentration of bone minerals has to be as close as possible to the physiological composition of bone tissue (5). For example, calcium hydroxyapatite, consisting of a complex of phosphorus and calcium, is a key material of skeletal tissue, and for this reason, many types of bone grafts contain it as a basic component (6).
One of the sources of calcium hydroxyapatite is eggshell. The eggshell is the end-product of the food industry, and it has been considered waste, which contributes to pollution. The use of the eggshell as a material for a bone graft is economically beneficial and environmentally friendly (7). It should be noted, that the size and biological properties of the resulting particles of the calcium-phosphate complex (from calcium hydroxyapatite) are very convenient for bio-engineering applications (8). In this study, we utilized nano-crystalline calcium hydroxyapatite obtained from eggshell, which is a biologically soluble film based on nano-sized polymer fibres (9).
The calcium hydroxyapatite obtained from eggshells possesses the ability to degrade rapidly, which leads to the increase in the local concentration of calcium at the site of a bone defect (10). Moreover, it has been shown that it can facilitate sufficient osseo-integration during bone regeneration (11). However, the level of degradability of synthetic calcium hydroxyapatite is low compared to calcium hydroxyapatite obtained from the eggshell (11). Apart from that, no preclinical study has been carried out to evaluate the effectiveness of a biologically soluble film obtained from eggshells based on nano-sized polymer fibers and calcium hydroxyapatite.
The aim of this study was to assess the effectiveness of the use of nano-crystalline calcium hydroxyapatite made from eggshell for the healing of a critical bone defect in vivo.
The study was carried out in the Laboratory of Experimental Medicine of NJSC “S.D. Asfendiyarov KazNMU”, Almaty, Kazakhstan. The experimental study protocol was approved by the Local Ethics Committee of S. D. Asfendiyarov Kazakh National Medical University (Approval No. 871), dated January 29, 2020.
The animals were kept in accordance with the international rules “Guide for the Care and Use of Laboratory Animals” (National Research Council, 2011), as well as with the ethical principles of the European Convention for the Protection of Vertebrate Animals used for Experimental and Other Scientific Purposes (Strasbourg, 2006).
An experimental study was carried out on outbred rats (n = 48) weighing 175 ± 42 grams. Animals before and after the operation were kept in the conditions of the Vivarium of the Atchabarov Research Institute of Fundamental and Applied Medicine (Republic of Kazakhstan, Almaty) with a standard diet and care.
In order to minimize the number of animals used in the experiment, the required number of samples was adjusted and optimized up to n = 48 outbred rats.
Laboratory animals (n = 48) were divided by random randomization into 4 groups:
- 1)
group I - Control group (CG), formation of a bone defect, without additional interventions (n = 12);
- 2)
group II - Interventional group (PRP-G): bone defect formation + PRP (n = 12);
- 3)
group III - Interventional group (CH-G): bone defect formation + nano-crystalline calcium hydroxyapatite (n = 12);
- 4)
group IV - Interventional group (PRP + CH): nanocrystalline calcium hydroxyapatite + PRP (n = 12).
Venous blood obtained from the tail vein in a volume of 1 ml (vacutainer with EDTA, China). Then it was centrifuged for 5 minutes at a force of 2000 xg 1200 rpm (12). After centrifugation, plasma was aspirated from the top of the tube. Quality control of platelet-rich plasma was carried out using a Sysmex XE-2100 hematology analyzer (Sysmex, Kobe, Japan).
Nano-crystalline calcium hydroxyapatite was obtained from eggshell, which was annealed for 2 - 3 hours at a temperature of 900 ° – 1000 ° C. After annealing, the powder was loaded into an enamel reactor, and then, a 6–9% solution of ortho-phosphoric acid was introduced with constant stirring and heating up to 60 – 80 ° C to accelerate the chemical reaction. The resulting solution was exposed to ultrasound for 1–2 h at a frequency of 32–36 kHz to ensure the same size of calcium hydroxyapatite nanocrystals. The resulting microndispersed powder was a material with dimensions equal to 1–2 microns. The Ca / P ratio in the synthesized nano-crystalline calcium hydroxyapatite was 1.67, which corresponds to the stoichiometric ratio of calcium hydroxyapatite in the human bone structure. The synthesized nano-crystalline calcium hydroxyapatite was used to obtain films based on nano-sized polymer (9).
The bone defect was simulated under sterile conditions with a pre-shaved surgical field, under general anaesthesia (ketamine 70 mg / kg + xylazine 6 mg / kg) (13) the dose and time of administration of the substances were recorded. During the procedure, the rats were fixed on the operating table in a lateral position. All animals underwent the formation of a bone defect in the middle third of the right femur using a Strong 204-102L dental drill with a 2 mm drill (Figure 1). The defect was formed by drilling the cortical layer and forming an oval-shaped defect with a length of 3 mm (3, 13) while maintaining the integrity of the bone marrow and medullary vessels (14).

Stages of surgical formation of bone defects in an experiment on rats.
In the group I (CG), a bone defect was formed without additional interventions. In the group II (PRP), PRP was used to replace the formed bone defect. Plasma was injected into the bone defect with an excess of a syringe with a short needle (18G1½) (14).
In group III (CH), a bone defect was formed using nanocrystalline calcium hydroxyapatite in the form of a paste (9).
In group IV (PRP + CH), after the formation of a bone defect, nano-crystalline calcium hydroxyapatite was used in the form of a paste in combination with PRP.
In animals of all studied groups, after manipulations on the bone tissue, the surgical wound was closed with intermittent sutures. After this, the animals were returned to their cages, with no restrictions in activity.
Laboratory animals were withdrawn from the experiment on days 21 and 61 after the formation of a bone defect by the method of cervical dislocation (15).
The animals were weighed from the first day (before the simulation of the bone defect) to 14 days every day, the behaviour and physical activity of the rats were monitored. The wound was examined for oedema, hyperaemia, swelling and pain on palpation, according to the described method (16). Pain on palpation of the injured area and with full extension of the injured limb was assessed based on the reaction of the animal according to the method of Meimandi-Parizi et al. (17).
On the 14th day after the surgical procedure, the animals were examined using an X-ray method to assess the process of bone consolidation at the site of the defect (18). From each group, n = 3 rats were randomly selected. The procedure was performed using a PROX-S device, DigiMed (South Korea). For the analysis, a scanner was used with the parameters of the generating tube current value of 2 mA, the exposure range (0.01 s – 1.6 s). For scanning, the animals were preliminarily anesthetized with xylazine hydrochloride at a dose of 0.10 ml / 100 g of body weight in the supine position (19). Bone tissue consolidation was determined by the absence of a bone gap or the presence of a pontine callus on the cortical layer (20).
On days 21 and 61 after removing the animals from the experiment, the femurs were extracted. The bone defects were evaluated depending on the type and density of tissue replaced in the area of the defect. From each experimental group, n = 3 rats were randomly selected.
Prepared slides with histological sections 4 μm thick were stained with hematoxylin-eosin. Microscopic analysis of bone tissue sections of animals from different experimental groups was performed using a Leica DM 2000 binocular light microscope (Leica Microsystems, Wetzlar, Germany) and digital software (Image-Pro plus 6.0; Media Cybernetics, USA).
A histo-morphometric evaluation was conducted by two independent histologists and performed on compiled images showing the entire cavity at x100 magnification (21). The formation of new bone and the line between the old and new bone were investigated. Bone regeneration was measured and averaged over multiple sites. Bone regeneration was expressed as a percentage of the height of the main bone at the periphery of the lesions (22).
On day 61 after euthanasia, n = 3 rats were randomly selected from each group, the femur was dissected under sterile conditions, and the muscles and surrounding defect site were removed for biomechanical evaluation. After processing, the bones were placed into a PBC solution for further testing for mechanical strength. The contralateral femur without defect was used as a control. A standardized three-point bend test was performed using an LR5K Plus electromechanical universal testing machine. Each bone sample was placed horizontally on two support rods at a distance of 26 mm, and the third rod was lowered into the middle of the defect (23, 24). The applied loads and deformation of the sample were recorded continuously throughout the experiment. The limits of the permissible relative error of the force meter were equal to 0.5 %, the discreteness of the digital reading device was 0.005 % of the rated load of the force meter. The procedures were conducted at the room temperature (20°C). All tests were performed on the same day to minimize variations due to temperature or biomechanical setting.
The results were evaluated using the NEXYGEN Plus software. The bending rate was 1 mm / min, then the maximum bending stress (σ, MPa) and the maximum bending deformation (relative unit) were determined based on the results of mechanical tests. The maximum bending load leading to rupture was considered as a fracture force.
To calculate the sample size of animals, we used the G * Power v. 3.1.9.4. programme (Germany). Statistical analysis was performed using SPSS v 25.0 for Windows. Arithmetic mean value (M), a standard deviation (SD) were derived from the quantitative indicators. Qualitative characteristics were described in absolute (n) and relative values (%). Differences between the considered parameters were considered statistically significant at p < 0.05. One-dimensional analysis of variance ANOVA was chosen for the statistical test. This test assumes that the samples from the groups are independent, and the F-distribution was used to test the hypothesis in the case of analysis of variance. Mann-Whitney U-test (Wilcoxon test) was performed to assess deformity.
All animals were clinically stable after wound simulation. In the postoperative period, the rats quickly recovered, returning to routine activities (regardless of the method of bone defect replacement). None of the five groups showed either macroscopic or microscopic signs of cellular inflammation or rejection of bone graft material.
There were n = 48 animals in total, no one died, and no bone fractures were found. Laboratory animals were withdrawn from the experiment only within the established timeframe according to the study protocol, no serious complications or diseases were observed during the study. The monitoring of indicators of the local inflammatory response, such as oedema, redness, pain during palpation, pain during flexing, and limb activity, showed that all groups had identical results (no significant differences were found in these indicators). Although there were minor changes in the severity of symptoms in the control group, they were not statistically significant.
In blood samples taken from laboratory animals, the average haematocrit level was 38 ± 5.4%, the number of leukocytes was 7.9 ± 4.1 · 103 / μl, and the average number of platelets was 580 ± 190 103 / μl. 0.7–0.8 ml of PRP was obtained, with an average platelet concentration of 1302 ± 480 103 / μl. Thus, we managed to achieve a threefold increase in the concentration of platelets in comparison with the initial count, the number of leukocytes in the PRP samples was − 1.1 ± 0.6 · 103 / μL.
Representative radiographic findings from the study showed (Figure 2) that after 14 days, the CG group had the lowest bone regeneration rate of 4.2 ± 1.7 %. In the PRP group in comparison with the CG group, the rates of bone defect healing were almost twice as high, which amounted to 8.4 ± 3.3 %, but there was no statistically significant difference (p > 0.05). In the HA + PRP group, the level of bone regeneration was 22.1 ± 7.1 %, which was higher compared to the rates of consolidation of bone defects in the HA group (20.7 ± 9.3 %), which was regarded as a statistically significant difference (p = 0.023).

Radiological images of the regeneration of bone defects of the femur in each group on day 14.
According to the results of the histo-morphometric analysis carried out on day 61, it was revealed (Table 1) that the percentage of bone tissue regeneration varied from 12.7 to 48.9 % in all groups. In the CG control group, bone regeneration rates of 12.7 ± 7.3 % were lower than the rate of bone healing in the PRP group (19.8 ± 4.2 %). However, there was no statistically significant difference in the regeneration of bone defects in the CG and PRP groups (p = 0.214 and p = 0.095, respectively). In the HA + PRP group, the regeneration rates (48.9 ± 9.4 %) were significantly higher than in the HA group (35.1 ± 9.8 %) (p = 0.001).
Histomorphometric analyzes of the level of regeneration of the rat femoral defect.
| Group number | Bone regeneration (%) | p |
|---|---|---|
| Group 1 CG | 12,7 ± 7,3 | 0,214 |
| Group 2 PRP | 19.8 ± 4,2 | 0,095 |
| Group 3 HA | 35,1 ± 9,8 | 0,028* |
| Group 4 HA+PRP | 48,9 ± 9,4 | 0,001* |
Measurement of bone formation after 61 days of regeneration
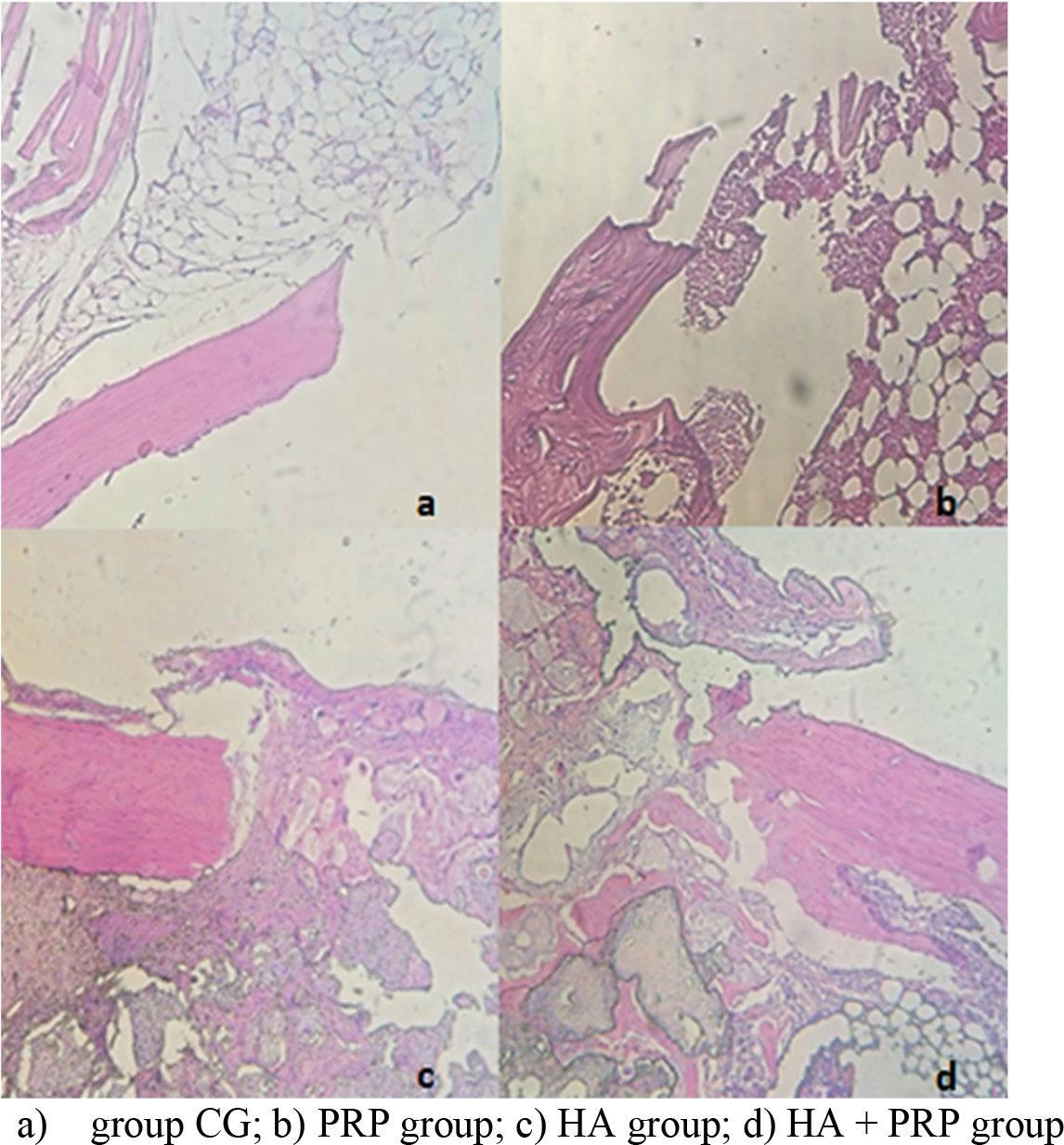
In control group I, CG, histological examination (Figure 3, a) showed that scattered fragments of bone trabeculae with periosteocytic voids were located among the connective tissue. In places, the space between the trabeculae was filled out with bone marrow content. Osteoblasts were arranged in chains along the bone beams and vessels. Bone formation was incomplete: a scarce newly formed osteoid without mineralization prevailed.

Histological picture of the femoral bone defect in the study groups on the 14th day.
In the group II, PRP in the area of the wound cut (Figure 3, b), neo-angiogenesis was poorly presented (just a few single vessels). The site of injury was filled with fibro-reticular tissue with scant lymphoid infiltration. Bony trabeculae were scattered, with foci of periosteocytic voids. The space between them was filled out with bone marrow. Osteoid deposits are scarce, with no signs of mineralization. In areas remote from the injury, bone tissue was detected.
In the group III HA, on day 61 of the experiment, the morphological pattern of the fracture zone (Figure 3, c) showed a variegated picture. The bulk of callus consisted of fibroreticular tissue with foci of incomplete osteogenesis. The osteoid, located among the fibres of the connective tissue, had blurred outlines, and it was surrounded by groups of active osteoblasts. Areas represented exclusively by cartilaginous tissue were recorded. Sites of mineralization were located haphazardly, mainly in distal bone fragments. The lesion was filled out with lamellar spongy bone with small foci of imperfect osteogenesis.
The bone tissue of laboratory animals of group IV HA + PRP on the 61st day of the experiment was normally structured. The area of the defect was represented by a lamellar bone with a system of osteons and Haversian canals (Figure 3d). The cancellous bone was transformed into a compact one, and the thickness of the cortical layer increased. There were single osteoclasts forming lacunae of resorption in the projection of osteogenesis, as well as in the distal regions.
On day 61, according to the study protocol, the bones were placed in an LR5K Plus electromechanical universal testing machine (Figure 4).

The process of preparing bone tissue for biomechanical strength testing.
The results of the biomechanical assessment indicated (Figure 5) that the highest strength of the femur was recorded in the contralateral bone without defect (p ≤ 0.01), which was selected as a control. It was revealed that at the highest load the maximum bending deformation was 0.028746 (at maximum bending stress equal to 121.0722 MPa).

Indicators of biomechanical assessment of bone tissue in the study groups.
Apart from that, the bone tissues of the animals of the HA + PRP group also showed a high strength of the regenerated bone in comparison with the rest of the experimental groups (p ≤ 0.05). In the HA + PRP group, the maximum bending stress of the tested bone was 90.67979, and the maximum bending strain was 0.024953. There was no statistically significant difference in bone strength between the contralateral bone without a defect and the HA + PRP group (p > 0.05). However, compared with CG, PRP, and HA, the biomechanical parameters of bone strength were significantly high in the HA + PRP group, which was regarded as a statistically significant difference (p ≤ 0.01).
In third place in terms of bone strength, samples of femurs were identified, whose defects were replaced by nanocrystalline calcium hydroxyapatite (group HA) with the maximum bending stress and maximum bending deformation equal to 58.32674 and 0.032192, respectively. In addition, the bone strength of the HA group compared to the CG and PRP groups was statistically significantly higher (p < 0.05).
In the CG group with an unsubstituted bone defect in comparison with the PRP group, the resistance and mechanical strength of the bone tissue was slightly lower, where the maximum bending deformation was determined equal to 0.03869, with a maximum bending stress of 51.81391. In the PRP group, when exposed to the maximum load at a maximum bending stress of 59.45824, the highest bending deformation was recorded with an index of 0.055171. However, there was no statistically significant difference in the strength of the regenerated bone between these CG and PRP groups (p > 0.05).
Normal healthy bone has the ability to self-regenerate during remodelling process or after minor trauma. However, if the site of the defect exceeds the critical size, the bone will not be able to spontaneously heal during life. In this case, bone replacement is required to regenerate new tissue (25).
The use of an animal model to reproduce a prototype of bone defects or other bone pathology is an effective method for comparing the approaches of bone tissue restoration (26). In our study, we investigated the comparative characteristics of the replacement of bone defects with nano-crystalline hydroxyapatite calcium obtained from eggshell, PRP, and their combination.
The results showed the advantage of the application of biological hydroxyapatite obtained from eggshell for tissue regeneration and replacement. The effectiveness of the use of hydroxyapatite from eggshells was described in previous reports, not only in terms of biological properties for replacing a bone defect, but also in connection with economic expediency (27, 28). Biological apatite has been known to be nanostructured material with unique chemical, physical, and electrical properties (29). Calcium hydroxyapatite, resulting from the direct action of a living organism, so-called “biogenic” hydroxyapatites, provides a possibility to overcome the limitations of synthetic apatites, including poor adhesion and low mechanical strength. In fact, calcium hydroxyapatite possesses very useful properties such as reduced solubility and convenient particle size (30).
It must be also noted that calcium hydroxyapatite does not contain osteogenic cells and signal substances that are essential for the correct regeneration process of bone tissue (31). In this regard, it should be emphasized that PRP contains a number of different growth factors, such as platelet growth factors (PDGF), vascular endothelial growth factor (VEGF), insulin growth factor (IGF) and transforming growth factor (TGF) (5, 32). These growth factors (in platelets) play an important role in bone regeneration through cascade reactions of angiogenesis and bone repair (33).
The results of the histo-morphometric analysis indicated that the use of nano-crystalline calcium hydroxyapatite on the 61st day after the formation of the defect led to the increase in bone regeneration (equal to 35.1 ± 9.8 %), which was higher than in the CG and PRP groups (p = 0.028). However, the percentage of regeneration of bone defects with the combined use of nano-crystalline calcium hydroxyapatite and PRP (48.9 ± 9.4 %) demonstrated a high efficiency in comparison with the data of the HA group (p = 0.001).
In addition, our results indicated that the individual use of hydroxyapatite in comparison with the CG and PRP groups provided a comparatively better biomechanical strength of the regenerated bone tissue (p < 0.05). The high efficiency of the HA + PRP complex for mechanical stability of the regenerated bone did not statistically significantly different from the high biomechanical properties of the contralateral bone without a defect (p > 0.05). In addition, the radiographic picture of the healing of the bone defect of the femur of rats on day 14 in the HA group was almost 2.5 times better than in the PRP group and almost 5 times higher than in the CG group.
The results of previous studies showed that PRP is highly effective in replacing a bone defect only when used together with a bone graft (34, 35). There is also evidence of the effectiveness of the combined use of PRP and synthetic hydroxyapatite, in contrast to the separate use in a rabbit bone defect model (36). Nevertheless, there are some contradictory data on histological and biomechanical bone repair after PRP application without bone grafts (37).
Our results showed their consistency, since the bone defect must certainly be filled with a material acting as a bone framework, for example, calcium hydroxyapatite (38). PRP, due to its known properties, can act as only an auxiliary material that potentiates the process of restoring the strength of bone tissue, but not paramount (39). It can be explained by the fact that hydroxyapatite has the ability to activate platelets, due to its bio-degradability and bio-absorbability, which allows calcium ions to be released (40).
The nano-crystalline calcium hydroxyapatite used in our study had a calcium / phosphorus ratio of 1.67, which is identical to the level of calcium hydroxyapatite in the human bone structure. In fact, the eggshell contained 94 % calcium bicarbonate (9), which indicates its applicability and availability for the effective replacement of bone defects. It has been shown that the use of nano-structured hydroxyapatite in bone tissue replacement increases its bioactivity in comparison with the application of large hydroxyapatite particles (3). The abovementioned properties of nano-crystalline calcium hydroxyapatite might contribute to the effectiveness in the replacement of induced defect of the rat femur observed in our study.
The results of this preclinical study indicate that nanocrystalline calcium hydroxyapatite obtained from eggshells is effective in the regeneration of bone defects. The advantages of the use of natural calcium hydroxyapatite are associated with its good bioavailability, safety and cost-effectiveness. The application of hydroxyapatite in combination with PRP demonstrated the high efficacy in high consolidation of the bone defect, marinating the mechanical strength and improved resistance of the regenerated bone tissue. Our findings indicate the need in further intensive research regarding clinical relevance, safety and effectiveness.